post-covid Covid nosi još jednu posljedicu, evo kada treba tražiti liječničku pomoć Osobe oboljele od covida-19 trebaju obratiti pozornost na svoje zdravlje.
Veliki problemi Korona komplikacije: Sve se više ljudi nakon preboljelog covida liječi u post covid ambulantama Stručnjaci naglašavaju da liječenje u postcovid ambulantama prosječno traje tri tjedna, dok je za potpuni oporavak potrebno i do nekoliko mjeseci.
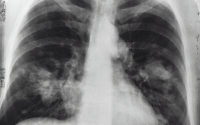
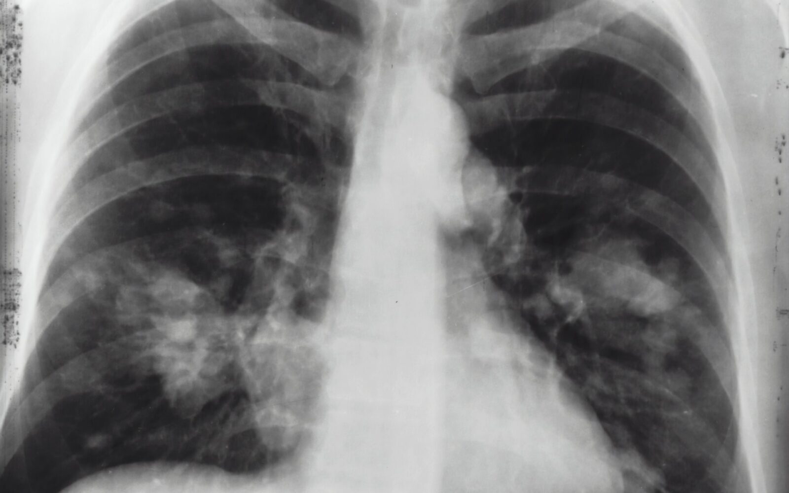
Dugi covid Dr. Jakopović: Post covid može izazvati fibrozu pluća što nekad završava transplantacijom - Kako je došlo ljeto i cijepljenje, imamo manje post covid bolesnika. Ima ljudi koji stvarno jako dugo zadržavaju teške plućne bolesti - nedostatak zraka pri najmanjem naporu, stalni kašalj. Najčešće to ide prema fibrozi pluća, st…
veliki problemi U Hrvatskoj raste broj pacijenata s dugim covidom: “Veliki je broj mladih koji nikada nisu imali teže bolesti” Najteže prolaze stariji, kronični bolesnici te oni koje je korona jače pogodila, ali oni nisu jedini.